Standardowa dawka alkoholu dziennie zwiększa ryzyko raka jamy ustnej

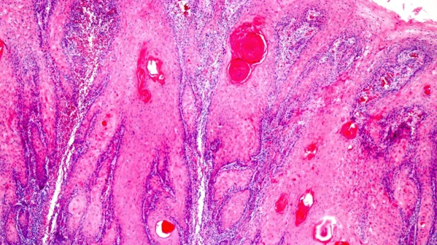
Rak kolczystokomórkowy lub rak płaskonabłonkowy, fot. Adobe Stock
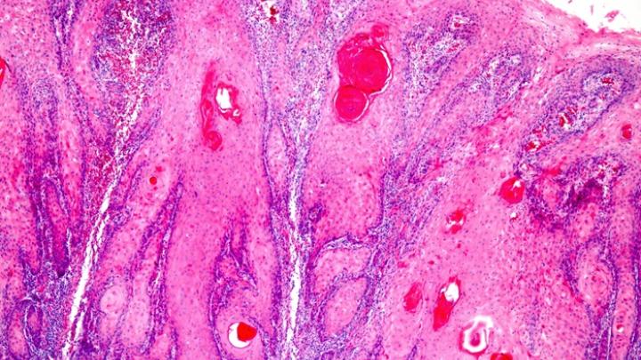
Rak kolczystokomórkowy lub rak płaskonabłonkowy, fot. Adobe Stock

Standardowa porcja alkoholu dziennie, np. kieliszek wina czy małe piwo, może o 50 proc. zwiększyć ryzyko zachorowania na raka jamy ustnej – wynika z indyjskiego badania, które publikuje „BMJ Global Health”.

Jak uznali badacze, największe zagrożenie wiąże się z alkoholem warzonym lokalnie.

Naukowcy z Center for Cancer Epidemiology (Navi Mumbai, Indie) przeprowadzili badanie wśród 1803 osób, u których zdiagnozowano raka jamy ustnej (a dokładnie raka błony śluzowej policzka), a także dla porównania wśród 1903 losowo wybranych osób bez tej choroby. Uczestnicy mieli przeważnie od 35 do 54 lat. Niemal 46 proc. przypadków raka błony śluzowej policzka występowało u osób w wieku 25-45 lat.

Badane osoby udzielały szczegółowych informacji na temat tego, jak długo, jak często i jakie rodzaje alkoholu spożywały. Wśród analizowanych trunków znalazło się 11 napojów alkoholowych, które są dostępne na rynkach międzynarodowych, oraz 30 lokalnie warzonych. Uczestników pytano również o palenie lub żucie tytoniu, ponieważ jest to znany czynnik ryzyka raka błony śluzowej policzka.

Spośród osób chorych na raka 781 przyznało się do picia alkoholu, podczas gdy 1019 stwierdziło, że tego nie robi. W grupie kontrolnej alkohol piło 481 osób.

Okazało się, że osoby pijące alkohol miały o 68 proc. wyższe ryzyko zachorowania na raka błony śluzowej policzka w porównaniu z niepijącymi. W przypadku alkoholi warzonych lokalnie ryzyko było wyższe o 87 proc. Naukowcy podejrzewają, że częściowo ma to związek z tym, iż lokalnie warzone alkohole mogą być zanieczyszczone toksycznymi związkami, takimi jak metanol czy aldehyd octowy.

Osoby, które cierpiały na raka błony śluzowej policzka, piły częściej i spożywały więcej alkoholu dziennie, tj. 37 gramów, w porównaniu z osobami bez tego nowotworu – 29 gramów.

Ponadto naukowcy zaobserwowali, że spożywanie nawet niewielkiej dziennej dawki alkoholu, jaka zawarta jest w standardowym napoju alkoholowym, wpływa na wzrost ryzyka raka błony śluzowej policzka. Na przykład spożycie 9 gramów alkoholu dziennie, to jest dawki zawartej w kieliszku wina czy w małym piwie, wiązało się z wyższym o 50 proc. ryzykiem tego nowotworu.

Ale nawet spożycie mniej niż 2 gramów wciąż zwiększało ryzyko.

Wpływ alkoholu na ryzyko raka śluzówki policzka rósł w jeszcze większym stopniu – tj. czterokrotnie - u osób, które piły alkohol i używały wyrobów tytoniowych, zwłaszcza w formie produktów do żucia.

Zdaniem autorów pracy picie alkoholu w połączeniu z korzystaniem z wyrobów tytoniowych może leżeć u podstaw nawet dwóch trzecich (62 proc.) przypadków tego nowotworu w Indiach. Z kolei samo picie alkoholu może odpowiadać za 11,5 proc. przypadków raka śluzówki policzka w tym kraju.

Badacze podejrzewają, że etanol może zmieniać skład tłuszczów w śluzówce jamy ustnej, a przez to czyni ją bardziej przepuszczalną i bardziej wrażliwą na związki rakotwórcze obecne w produktach tytoniowych, zwłaszcza w produktach do żucia.

Jak podsumowali naukowcy, najnowsze badanie wskazuje, że nie ma bezpiecznego limitu spożycia alkoholu w odniesieniu do ryzyka raka błony śluzowej policzka. Dlatego potrzebne są działania w zakresie zdrowia publicznego mające na celu zapobieganie lub ograniczenie spożywaniu alkoholu, jak również tytoniu. (PAP)

jjj/ bar/

Fundacja PAP zezwala na bezpłatny przedruk artykułów z Serwisu Nauka w Polsce pod warunkiem mailowego poinformowania nas raz w miesiącu o fakcie korzystania z serwisu oraz podania źródła artykułu. W portalach i serwisach internetowych prosimy o zamieszczenie podlinkowanego adresu: Źródło: naukawpolsce.pl, a w czasopismach adnotacji: Źródło: Serwis Nauka w Polsce - naukawpolsce.pl. Powyższe zezwolenie nie dotyczy: informacji z kategorii "Świat" oraz wszelkich fotografii i materiałów wideo.

Czytaj także

  • Fot. Adobe Stock

    Ultraprzetworzona żywność zwiększa ryzyko zawału i udaru o 47 proc.

  • Fot. Adobe Stock

    Opracowano implant, który pomoże w terapiach i badaniu mózgu

Przed dodaniem komentarza prosimy o zapoznanie z Regulaminem forum serwisu Nauka w Polsce.

newsletter

Zapraszamy do zapisania się do naszego newslettera